Viral! Temukan Ratusan Susuk, Ini 5 Fakta Unik Susuk Dalam Dunia Medis

Baru-baru ini, warganet dihebohkan dengan fenomena penampakan susuk di dunia medis. Hal ini mulai viral di internet setelah seorang selebgram yang juga seorang dokter bernama Tasqia Syabira, mengunggah foto penampakan ratusan susuk yang bersarang pada tubuh seorang pasiennya.
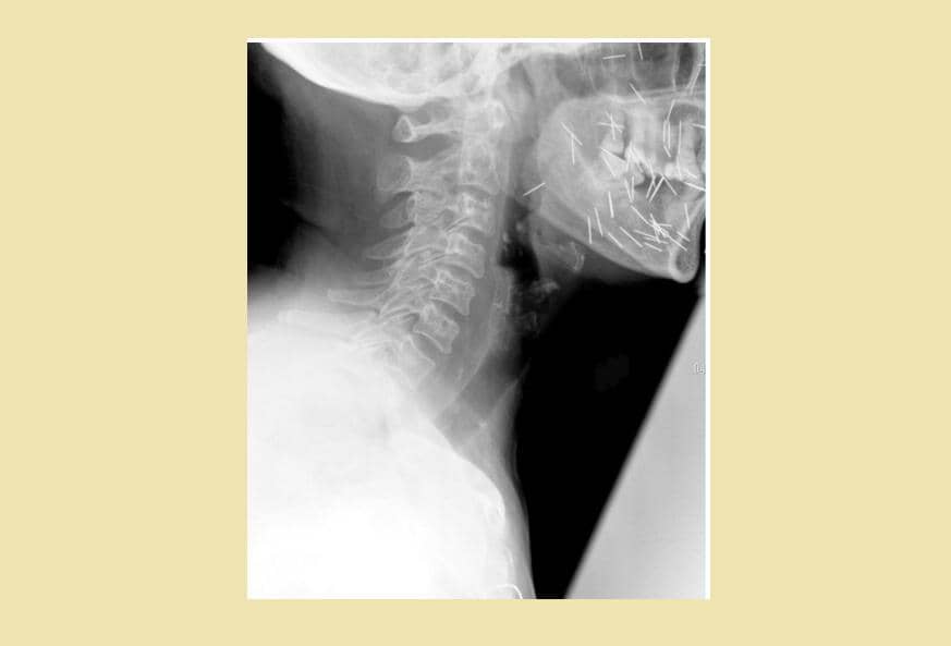
1. Ratusan susuk terlihat jelas lewat hasil foto sinar-X

Dalam unggahannya itu, Tasqia menuliskan bahwa ia sedang menangani seorang pasien berusia 55 tahun yang ingin melakukan X-ray atau sinar-X. Tak disangka, hasil foto sinar-X pasien tersebut memperlihatkan ratusan atau bahkan ribuan benda asing berbentuk seperti jarum yang bersarang pada tubuh pasiennya itu. Tasqia pun menyebut benda tersebut sebagai susuk. Sangking banyaknya, Tasqia pun tak tahu pasti berapa jumlah susuk yang ada pada bagian tubuh pasiennya itu.
"Pasien wanita, usia 55 tahun mau di X-ray. Nah kalo ini susuknya ada berapa? Itung sendiri deh ya :)," tulis Tasqia.
2. Disebut sebagai charm needle, susuk ternyata bisa berpindah posisi dalam tubuh

Menurut Tasqia, dalam bahasa Inggris, ia menyebut susuk sebagai charm needle. Hal ini lantaran bentuknya yang seperti jarum. Susuk juga menurut Tasqia bisa berubah posisi ketika dilakukan foto sinar-X lagi.
"Masih banyak yang gatau susuk ya wkwkw bahasa inggrisnya 'charm needle' karena bentuknya juga kayak jarum. Biasanya kalo di foto X-ray lagi, nanti berubah posisinya," tulis Tasqia.
"Dosen aku yang ngalamin langsung katanya pas lagi bedah di X-ray ada jarum, pas dicari ga ketemu, di foto lagi, tau2 pindah tempat, sampe berkali2, nah loh ;)," lanjutnya lagi.
3. Jarang menimbulkan komplikasi, susuk biasanya tak ditemukan ketika tubuh pasien dibedah

Meski memiliki bentuk fisik dari logam, Tasqia menyebut bahwa kasus komplikasi karena susuk jarang terjadi. Penemuan susuk oleh dokter dalam tubuh pasien juga bisa disebut sebagai sebuah ketidaksengajaan. Anehnya, susuk yang terlacak lewat foto X-ray seringkali tak ditemukan saat dilakukan pembedahan.
"Susuk ini jarang menyebabkan komplikasi, jadi biasanya pas di X-ray tuh kek "ga sengaja" ketemu. Di X-ray ada, tapu kalo dibedah ga ada gituuuu," ujarnya.
4. Biasanya dokter akan memilih diam ketika menemukan susuk dalam tubuh pasien

Tasqia juga mengatakan bahwa pasien biasanya tidak mau mengaku terkait kebenaran adanya susuk dalam tubuhnya karena faktor rasa malu. Oleh karena itu, para dokter biasanya memilih untuk tidak berkomentar atau diam saja ketika menemukan susuk tersebut. Selama, susuk ini tidak membahayakan kesehatan si pasien.
"Dokter juga lebih memilih diam aja kalo kasusnya begini selama susuk ini ga bermasalah buat kesehatan si pasien," ujar Tasqia.
5. Umumnya ditemukan di sekitar kepala

Ketika ditanya biasanya susuk banyak ditemukan di area tubuh yang mana, Tasqia menjawab bahwa susuk bisa dimasukkan di mana saja. Namun, biasanya banyak ditemukan di sekitar kepala dan sisanya ada sekitar area kaki hingga payudara.
"LMAOOOO yess bisa dimana ajaaa cuma emang umumnya di daerah kepala, sisanya bisa di kaki tangan, perut, dada, payudara, dll," tulisnya.
Bagaimana menurutmu, Bela?



















